Semalam, saking penasarannya, aku sampai terbawa mimpi, mau ketemu dokter tapi ternyata aku kesiangan n nggak jadi ketemu beliau deh. Untungnya cuma mimpi, hehe...ngga jadi gelisah deh.
Dokter aku ini prakteknya cuma waktu hari kerja, jadi agak susah juga kalo mau minta Hubby nemenin. Dan lagi-lagi kali ini aku sendirian deh menyaksikan tingkah si dedek yang ngegemesin banget.
Waktu ukur tensi dan berat badan aku sempat gelisah. Soalnya tensi aku masih seperti yang dulu...maksudnya masih agak rendah gitu. Terus berat badan juga turun sekilo dari sebulan yang lalu. Kalo dihitung total turun hampir 3 kg selama 2 bulan ini. Huks...sedihnya...kasian si dedek. Pas masuk ruang dokter pun dibilang dokter aku awet langsing. Jadi makin kuatir deh ma perkembangan si dedek. Tapi ternyata hasil USG mengatakan semuanya baik-baik saja...hmmm....langsung happy deh mommy dek :).
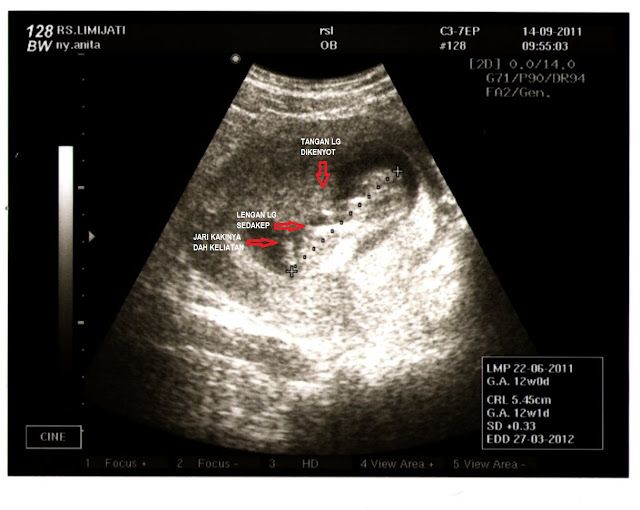
Hasil USG alhamdulillah si dedek lincah, lumayan aktif bergerak-gerak, badannya, lengan dan kakinya gerak-gerak semua. Lagi renang gaya punggung yah dek...hihihi....tapi kok sambil ngenyot jempol sich...lucunya si dedek. Bentuk tubuhnya sudah mulai kelihatan lengkap, jari-jarinya juga mulai kelihatan terbentuk. Tadi sama dokter ditunjukkan bagian-bagian tubuhnya. Kata dokter emang badan si dedek sekarang belum proporsional. Proporsi kepala dan badannya cuma beda dikit... hehehe... sekarang dedek dari kepala sampai bokong dah sepanjang 5,54 cm. Sesuai dengan usia kehamilan, malah seperti biasa, lebih sehari dari usia berdasarkan LMP jadi 12 minggu 1 hari. Dari gambarnya kok keliatan mulai sempit ya kantung amnionnya? Kasihan si dedek jadi kurang bebas bergerak.
![]() |
| Si Dedek usia kehamilan 12 minggu |
Di minggu yang ke 12 ini rasa lelah masih terasa yang bikin aku hibernasi 10 jam lebih tiap hari. Mualnya alhamdulillah sudah agak berkurang, cuma untuk makan masih agak sulit. Setiap makan kadang suka keluar lagi pas agak nunduk. Diagnosa dokter waktu pengosongan lambungku agak lama itulah kenapa aku selalu berasa sebah dan sulit makan. Jadi kata dokter sih intinya aku masih bermasalah sama lambung. Kadang kepalaku juga akhir-akhir ini suka cenat-cenut kaya badut, padahal dah makan dan minum cukup. Terus tiap kali bangkit dari tidur atau duduk kepalaku suka tiba-tiba gelap. Untuk yang satu ini kata dokter bisa dikurangi dengan minum yang manis-manis or ngemil coklat. Hehe...senangnya...cuma sayang tadi lupa nanya kalo minum soda boleh ngga yah? Aku selalu ngiler tiap liat Hubby minum soda dan suka nyeruput dikit pas ngga ketahuan...hehe....
Alhamdulillah nak kamu sehat dan berkembang dengan baik. Mommy dah kuatir banget kemarin. Untungnya tingkah polahmu yang aktif meyakinkanku kalo kamu baik-baik saja.
Mommy dah ngga sabar nunggu moment USG lagi bulan depan biar bisa melihat tumbuh kembangmu. Tetap sehat dan kuat yah nak. Mari kita lalui masa-masa indah ini bersama. :) :) :)


